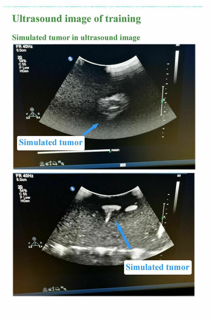
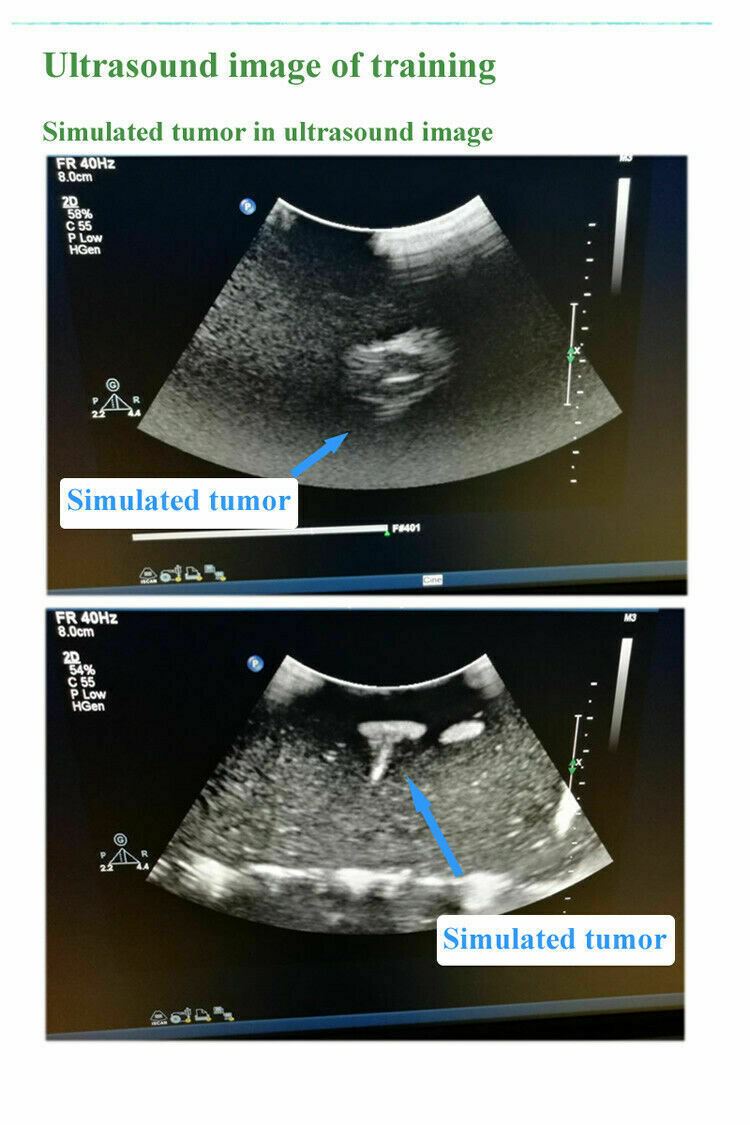
Description
Model for Interventional Ultrasound, Soft tissue, B-Ultrasound Training Teaching
Features:
- A training teaching model for interventional Ultrasound
- Soft material
- Can be used for fine needle aspiration training
- Several different sized simulated high echo towers with the model
- 150x120x50mm
- Washable
The sale of this item may be subject to regulation by the U.S. Food and Drug Administration and state and local regulatory agencies. If the item is subject to FDA regulation, I will verify your status as an authorized purchaser of this item before shipping of the item." If you have questions about legal obligations regarding sales of medical devices, you should consult with the FDA's Center for Devices and Radiological Health.
International Buyers – Please Note:
Import duties, taxes, and charges are not included in the item price or shipping cost. These charges are the buyer's responsibility. Please check with your country's customs office to determine what these additional charges might be.














